
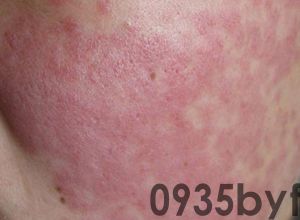
鲜红斑痣可累及面部,表现为局部皮肤上出现红色斑点。患者无不适症状,只有少数会伴有异常出汗或感觉异常。
鲜红斑痣面颊部红色斑片一般除影响美观外,没有大的妨碍,不必刻意求治,若觉得影响面容美观,可外用接近肤色的遮盖类化妆品即可。但若局部皮损短时间之内发生很大变化,建议及时到医院就诊治疗,常用脉冲染料激光或光动力治疗。
日常生活中,患者应尽量避免阳光直射,若外出要做好防晒措施,如涂抹防晒霜、戴遮阳帽、打遮阳伞等。另外还需保持患处的清洁干燥,避免引起感染。若进行激光治疗后出现疼痛,可用毛巾包裹冰块间断进行冰敷。
《推荐你使用脚气克星(布医坊水杨酸抑菌粉)布医坊指定加盟商,实体店内180一盒,拼多多大促销,正品保证,假一赔十》