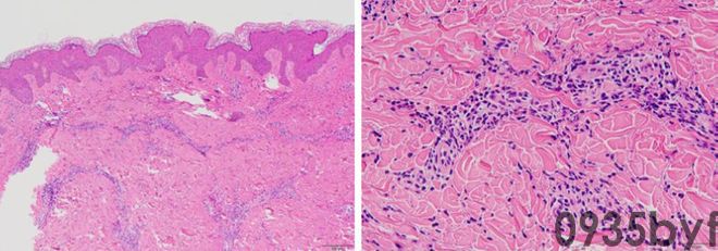
患者男,14岁,反复红斑10年,累及面部、躯干和四肢,并伴有足跟疼痛。值得注意的是,在就诊前5年,患者体重明显增加,且反复发烧。其母亲和祖母有类似的反复红斑及听力障碍,祖母患肥胖症和糖尿病。
体格检查:躯干和四肢有风团样红斑、丘疹。体重71.3kg,身高160.5cm,体质指数为27.6kg/m2。


医学界力求所发表内容专业、可靠,但不对内容的准确性做出承诺;请相关各方在采用或以此作为决策依据时另行核查。
《推荐你使用脚气克星(布医坊水杨酸抑菌粉)布医坊指定加盟商,实体店内180一盒,拼多多大促销,正品保证,假一赔十》